牙研所 | 小心邻面龋,一颗坏成俩!
发布时间:2021/02/25



       很多人嘴里或多或少都有一两颗蛀牙,只是你没有发现而已。
 
       那么,你所知道的牙齿龋坏(蛀牙)有哪些种类?有人会说,不就是蛀牙嘛,怎么区分类型?
 
       其实呀,蛀牙还真就能分类,可以分成两种:一种是「咬颌龋」,一种是「邻面龋」。



       其中,咬颌龋是发生在牙齿的咀嚼面,也就是牙齿表面最宽、咀嚼食物的那一面,我们最常见到的蛀牙就是咬颌龋。
 
       至于邻面龋,顾名思义,它是发生在牙齿与牙齿对接的相邻面,也就是牙缝中,由于它是在“夹缝中生存”,潜伏性很强,所以没有发展到比较严重的时候是难以发现的。



       众所周知,牙齿发生龋坏一般是由于牙齿清洁不够到位造成的。
 
       同样,蛀牙中的邻面龋也是一样。
 
清 理 不 干 净 
 
       但是它却不是牙齿的表面没有清理干净,而是牙齿间的牙缝。
 
       一般我们刷牙时,刷到的都是牙齿的内侧面、外侧面和咀嚼面,牙缝基本上刷不到。



       所以牙缝中会残留下食物残渣和细菌,日积月累,越积越多~
 
       食物残留会发酵腐败,并且细菌会分泌酸性物质,就为齿表龋坏提供了可乘之机。
 
酸 性 物 质 腐 蚀 
  
       当然,不只有致龋细菌会分泌酸性物质,饮料中也含有部分酸性物质,如柠檬酸、碳酸。
 
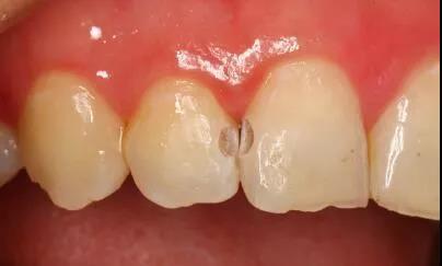
       这些酸对牙齿外层的牙釉质具有酸蚀作用,由此牙齿开始变色,时间一长甚至会形成蛀牙龋洞。


▶ 被“蛀出洞”的牙齿

       另外,经常吃甜的食物和游离糖含量丰富的食物也容易发生牙齿龋坏,尤其是在吃完后还没有及时漱口的情况下。
 
       糖分为致龋细菌提供了繁殖所需的营养物质,细菌越来越多,分泌的酸性物质也就越来越多,对牙齿造成了更大的伤害。
 
       其中,游离糖含量丰富的食物主要有糖果、饮料、果汁,这些都是不知不觉间容易摄入糖分的食物,需要控制食用量。



       另外,相较于牙缝大的牙齿,排列拥挤的牙齿由于不便于清洁、潜藏细菌,更容易易出现邻面龋。
 
       其实邻面龋和普通龋坏的致龋因素大致一样,只是作用的部位不一样。



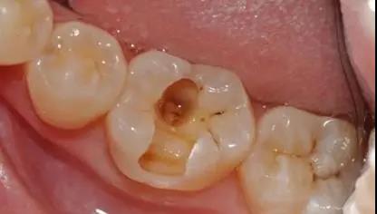
       因为邻面龋易“潜藏”在牙缝中,所以如果不注意观察牙齿,等到严重时,龋坏的范围已经扩大了。
 
       邻面龋也就由一颗牙齿逐渐蔓延到另一颗牙齿,如果没有及时止住龋坏,那么邻牙也会被蛀,最终被“拖下水”。



       所以,一旦看到牙齿出现了这些症状,就有可能已经出现了邻面龋,包括:
 
       牙齿邻接处变色
 
       牙齿邻接处缺损,出现龋洞
 
       食物嵌塞
 
       冷热刺激敏感
 
       蛀牙的害处多多,邻面龋对身体的影响和大多数蛀牙一样。



       牙周炎、牙髓炎,严重时牙齿松动、缺失、引发感染都是龋坏对牙齿和牙龈造成的损害。
 
       一切疾病只要早发现都能够及时止损,为了避免牙齿“一颗坏成俩”,可一定要擦亮眼睛,及时发现邻面龋,尽早治疗。



       对于蛀牙,老生常谈的话题都是预防,没错!预防到位,蛀牙和牙病才会退缩。
 
       预防中最基本要做的就是①「口腔清洁」,早晚刷牙,及时漱口,有利于清理致龋细菌,维持口腔环境的酸碱平衡。
 
       既然仅靠刷牙很难清洁到牙缝,那么就需要一些特定的工具来清理。
 
       例如:牙线/冲牙器



       这两种工具都能有效清理掉牙缝间的滞留物,每天使用一至两次,尤其是在饭后使用最好。
 
       如果没有每天都盯着牙齿观察,早期的邻面龋是很难看出的,也不会引起人们的重视。
 
       继续这样发展拿下去只有一种可能:产生邻面龋。
 
       所以需要牙科ct(牙片)才能够观察到牙齿各项不易观察到的异常状态,包括邻面龋。


▶ 红色区域均为邻面龋

       那么,②「口腔检查」就需要定期进行了,不仅利于自己了解牙齿的生长状态,还能够及时发现病征。
 
       最后,最重要也是压轴的一点就是:③「养成口腔保健护理意识」。
 
       毕竟,致龋的因素虽然就只有那么几个,但是涵盖的范围可不少,细节往往才是最需要注意的,这就需要我们有一定的护理意识,减小牙齿龋坏发生的可能性。
 
       如果蛀牙已经发生,在专业的医院,医生会清理掉龋坏的部分,用牙齿材料对坏牙进行填充修复



       所以不必担心,及早治疗,对健康的影响不会那么大,花费也较少。
 
       可是如果一直拖着等它变得严重了再治疗,那将多花费几倍的治疗费用。
 
       海德堡联合口腔,传承于德国的诊疗技术,能够让看牙治牙变得全面、简单、快捷。
 
       引自德国先进的数字化Sirona CBCT设备,只需要2分钟就能够扫描到全面的口内数据,以三维立体的高清图像形式展现出来。



       肉眼观察不到的异常(早期邻面龋),医生和患者都能够一目了然。
 
       虽然牙齿的硬度很大,是人体内最坚硬的部分,但是若没有注重护理,再坚硬的牙齿也会变得很脆弱。