导致孩子牙齿变黑的帮凶——碳酸饮料
发布时间:2020/12/04



       当孩子牙齿被蛀,出现小黑点时,家长们都会认为这是吃糖造成的。
 
       其实不然,虽然吃糖可能会导致蛀牙,但是还有一种饮料,如果喝了,同样会让牙齿变黑。


而它还常常被家长忽略,
认为孩子只要少喝了,
对牙齿就不会有影响,
它就是——碳酸饮料。
 
       今天,就来带大家了解一下,碳酸饮料如何为孩子的牙齿“上色”?



       碳酸饮料,因其具有各种各样的口味,对人们的吸引力非常大,尤其是对味觉极其敏感的儿童。
 
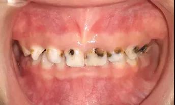
       牙齿被龋变黑,是一个长期的过程,牙齿的外表面的牙釉质,是人体最坚硬的组织。


牙齿被龋变黑

       但是它却很怕酸,牙釉质的主要成分是“羟基磷灰石”,在酸性的环境下,牙釉质中的钙和磷会以离子的形式释放出来。
 
       而碳酸饮料中因为加压融入了大量的二氧化碳,与水结合就形成了碳酸,它会渐渐腐蚀牙釉质。
 
       此外,为了增加饮料入口的爽快感,绝大部分碳酸饮料中都会加入柠檬酸、磷酸等酸性物质。
 
       当孩子喝碳酸饮料时,一次两次可能对牙齿不会有什么影响,但是如若频繁地喝,牙齿频繁地处在酸性环境中。



       日积月累下来,对牙齿的腐蚀程度就不容小觑了,跟“千里之堤溃于蚁穴”是一个道理。
 
       被碳酸等酸性物质过度腐蚀的牙齿,就像是坑坑洼洼的地面一样,凹凸不平,医学上称这种现象为牙齿脱矿。
 
       最直接的感受就是,喝完碳酸饮料后,用舌头舔舐牙齿表面,会有涩涩的磨舌头的感觉,一点也不光滑。
 
       而且因为牙釉质被腐蚀变薄,牙齿会变得异常敏感和脆弱,容易被龋,一点点地变黑。
 
       除此以外,碳酸饮料中还含有大量的糖分,残留在口中会为附着在牙齿表面的细菌提供大量的营养物质,从而为他们创造良好的繁殖条件。


含有大量糖分的碳酸饮料

       几个小时下来,牙齿表面会被厚厚的细菌覆盖,它们还会“反哺”你,分泌酸性物质。
 
       这些酸性物质会进一步腐蚀孩子的牙齿,从而引发蛀牙或龋化加速,它与碳酸共同的特征就是会致使牙齿变黑。
 
       牙齿变黑若不及时就诊,会从一开始的小黑点逐渐发展为大黑斑,甚至是完全被龋,形成黑牙,想想都觉得可怕。
 
       特别是儿童时期乳牙和恒牙的钙化程度较低,很容易患上这类病症。



不论喝不喝碳酸饮料,都应该知晓的一点是:
 
喝饮料的习惯
对牙齿的危害程度密切相关
 
       如果碳酸饮料在口中停留的时间长、频率多,如睡前喝饮料没有漱口刷牙,那么它对牙齿的危害程度将明显增加。
 
       牙齿变黑没有那么可怕,如果还没有变黑就可以通过日常的防护提前预防。
 
       注意,预防应注意以下几个要点:
 
要点一: 

       养成良好的饮食结构。应尽量减少饮料的摄入,尤其是碳酸饮料,日常的饮用要以矿泉水为主,不仅健康还能起到清洁口腔的作用。
 
要点二:  

       如果不能避免喝碳酸饮料,就应该控制饮入量和频率。最好采用吸管吸取的方式喝,减小饮料和牙釉质的直接接触面积。




要点三: 
 
       其实碳酸饮料中的气泡就是二氧化碳,可以等到气泡完全散发后再喝,能够减少碳酸对牙齿的腐蚀。
 
要点四: 

       喝完后需要漱口或者刷牙,清除碳酸饮料在牙齿表面的部分残留,饮料中的碳酸和糖分能够直接或间接地导致牙齿被龋。



要点五: 

       选用牙膏时,最好是使用含氟牙膏,里面含有的氟元素可以起到保护牙釉质的作用。
 
       当然,最为稳妥保险的方法还是做定期地做口腔检查,医生会根据孩子的牙齿情况做出合理的清洁养护建议,有效预防蛀牙。
 
       像为孩子们的牙齿做窝沟封闭、定期涂氟、洗牙洁牙等,都可以降低牙齿被蛀的风险。
 
       窝沟封闭是指在儿童牙齿的咀嚼面上涂抹封闭剂,因为牙齿的咀嚼面一般会有小的沟洞。


窝沟封闭的步骤

       将这些沟洞堵住,细菌就没有了繁殖的场所,更不容易被龋。
 
       定期涂氟可以在牙齿的表面形成保护层,把口内的酸性物质和牙齿隔离开,是预防蛀牙的一道屏障(一般一年涂氟3~4次)。


超声波洁牙

       洗牙洁牙就不用说了,洗完牙后,牙齿表面的细菌、牙缝间的残留物都会被清扫出去。
 
       更利于宝宝牙齿发育,营造出一个健康干净的口腔环境。



       当发现孩子的牙齿出现小黑点,基本上就确定了牙齿已经被蛀,不要拖延,要及时看牙医,避免龋病的范围进一步扩大。
 
       轻微被龋只是齿表简单地发黑,重度被龋牙齿会出现小黑洞或者整颗牙被蛀空。
 
       所以,把蛀牙扼杀在摇篮中,才不会让牙齿“一去不复返”。
 
       就医时,医生会根据牙齿的被龋程度来制定适合的修复方案,必要时,可能还需要拔牙。



       治疗好孩子蛀牙的同时,让他们有像做游戏般的看牙体验,是很多父母所希望的。
 
       因为带孩子去医院,并让他们配合治疗,可难住了不少的家长。
 
       但是有这么一家医院,来就诊的孩子无一不是笑着走出去的,嚷嚷着下次看牙还要来这里“玩”。
 
       他们所说的这里,就是海德堡联合口腔。数位有着多年丰富诊疗经验的儿童牙科医生让孩子看牙时哭闹、不配合等问题,在这里通通被化解。



       这里执行着德国的诊疗标准,配备尖端的齿科诊疗设备,提供一站式的诊疗服务,能够很大程度地提升儿童看牙的体验感。
 
       很多牙齿护理观念较强的家长,会带孩子做定期的口腔检查,海德堡联合口腔秉承“让儿童快乐看牙”的理念,让孩子不惧看牙。
 
       同时会为来看牙的儿童建立终生档案,每一次治疗、检查、复查都会有存档,便于分析牙齿发育情况。



       预防,是避免牙齿变黑的关键;及时就诊,是避免进一步恶化的有效举措。
  
       因此,保护牙釉质十分重要,切记平时认真刷牙、做好口腔清洁,少喝碳酸饮料。