关于我们
About us
热点资讯
Hot news
诊疗服务
Service
联系我们
Contact us
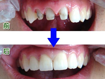
天津海德堡口腔医院——烤瓷牙的种类和价钱
发布时间:2021/02/18
烤瓷牙
的种类有哪些、分别的价钱是多少相信是很多牙齿需要修复的爱美者经常搜索的问题。烤瓷牙的种类及价钱是有什么决定的呢?烤瓷牙,不同材料不同价格。便宜的如镍铬合金,较好的如钛合金,还有就是全瓷牙。价格从几百到3,4千不等。材料不同,当然牙齿的逼真度,美观度也有所不同。
牙齿美容界的明星,烤瓷牙的知名度可谓众所周知。但烤瓷牙的种类有很多,价钱也不一样,究竟烤瓷牙的种类及价钱是怎么样的?下面小编为大家详细奉上。
烤瓷牙的种类根据其所选材质的不同分为很多种,主要有普通金属烤瓷牙、半贵金属烤瓷牙、贵金属烤瓷牙、全瓷牙四种。
烤瓷牙的种类及价钱概况
一、普通烤瓷牙:价格一般在千元之内。普通烤瓷牙主要由镍铬合金等普通金属制作而成,成本较低,但长时间佩戴在口腔中还是存在一些问题,比如性能不够稳定,牙龈边缘发黑等症状,因此目前在很多医院已经放弃了这种烤瓷牙。
二、非贵金属烤瓷牙:价格在千元左右,非贵金属烤瓷牙常见的主要是钛合金烤瓷牙和钴铬合金烤瓷牙,这类烤瓷牙的价格介于普通金属和贵金属烤瓷牙之间,性价比较高,也受到了很多工薪阶层患者和学生患者的喜爱。
三、贵金属烤瓷牙:价格一般在几千元之间,主要是黄金、铂金等贵金属制成的烤瓷牙,这类烤瓷牙可以使修复后的牙齿保持色泽逼真、性能稳定、边缘密合性好,是目前较受患者青睐的一种烤瓷牙修复体。
四、全瓷牙:价格最高。也是目前为止最为理想的一种烤瓷牙修复体,特别适用于前牙的患者,深受欢迎程度也越来越高。