关于我们
About us
热点资讯
Hot news
诊疗服务
Service
联系我们
Contact us
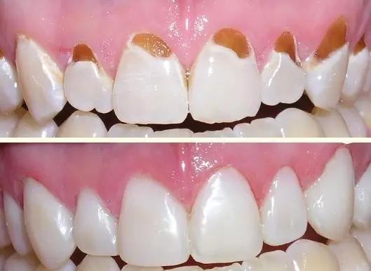
天津种植牙医院海德堡口腔为您解读补牙后的注意事项
发布时间:2020/12/05
当牙齿受到龋病的侵扰,为防止龋病的进一步蔓延,应进行及早的
补牙
治疗,而补牙后,牙体的外形虽然得以修复,但其性能则受到了一定的削减,因此补牙后要注意牙体的保护及口腔的全面护理,那么补牙后注意事项有哪些呢。
关于补牙后注意事项,
海德堡口腔医院
专家指出:补牙后注意事项可概括为以下几个方面。
补牙后注意事项:首先,补牙后补牙材料的凝固需要一定的时间,因此补牙后2小时内应忌食,2小时后可适当吃些温和清淡的食物,同时避免过热过冷或辛辣、烟酒食物; 补牙后注意事项:其次,补牙的当天,应避免用补牙的一侧进行咀嚼,另外补牙后的饮食应从软到硬逐步适当,同时补牙后牙体的咀嚼性能受到一定的削减,因此不宜用补过的牙齿咀嚼坚硬的食物;
补牙后注意事项:再次,有些患者龋病较大的患者,在补牙后,补牙后注意事项:另外,补牙后如出现疼痛、咬合不良的情况,应及时上牙科医师进行及早的调整修复; 补牙后注意事项:最后,补牙后的口腔清洁极为关键,否则补牙的牙齿极可出现龋病的发生。
以上就是关于补牙后注意事项的详细介绍,海德堡口腔医院牙科专家提醒广大患者:龋病的发生是一个较为复杂的过程,龋病防胜于治,日常生活中应注意口腔的护理保健,定期进行口腔检查,可有效避免龋病的发生,而一旦发现龋病,那么则应进行及早规范的治疗。