什么烤瓷牙好呢,天津种植牙医院海德堡口腔专家为您解答
发布时间:2020/12/02
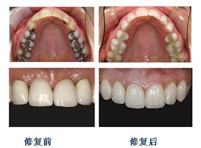
烤瓷牙不仅可以修复缺损的牙齿,还可以让我们牙齿变得漂亮起来,烤瓷牙能够让我们拥有一口洁白的牙齿,那么,现在什么烤瓷牙好呢?烤瓷牙修复后牙龈发黑是什么原因      

1、在全瓷牙中以氧化锆全瓷牙为较常见。它在烤瓷牙中是一种比较特殊的类型。由于完全是由瓷粉构成的,没有了金属的限制,牙齿的层次和颜色得以最大程度地体现出来。       

2、烤瓷牙的材料选择。选择好的材料,镍铬合金的烤瓷牙价格比较便宜,但它和组织的相容性差,刺激性较大,容易引起过敏症状。安装上这种烤瓷牙的患者牙龈和基牙易发青或灰染,所以不太建议使用。而贵金属合金的烤瓷牙价格适中,不易腐蚀,能减少牙龈灰染现象,且经久耐用,看起来更美观,适合于广大患者,而最好的材料就属全瓷牙,里面不含金属,因此和人的牙齿高度接近,看起来很自然。  



3、贵金属(黄金)烤瓷牙。黄金在牙科中应用已有数千年的历史了,它对人体无毒害,是迄今为止最理想的修复材料之一。其最大的优点是在黄金表面的瓷粉能更忠实地反应出自身的颜色。贵金属烤瓷牙中还有白金烤瓷牙。白金烤瓷的质地和硬度比黄金烤瓷更好。       

4、烤瓷牙很好,但是烤瓷牙并不适合每个人,所以要先确定自己是否适合装烤瓷牙。如果与缺失牙位置邻近的两颗桥基牙不健康的话,最好别装烤瓷牙。所以,专家建议最好要到正规医院进行口腔健康检查自己是否适合安装烤瓷牙。       

       烤瓷牙修复后牙龈发黑什么原因       

       很多朋友在做完烤瓷牙后,牙龈边缘会出现一条黑色的线,甚至有人牙龈红肿出血,美牙不成倒成了毁牙,这是什么原因呢?在发达国家,烤瓷修复一般都以贵金属和全瓷牙为主,而国人由于受经济条件的限制,一部分人会选择比较便宜的材料作内冠。       

       所谓便宜的烤瓷牙材料就是指镍钴合金,这种材料与牙龈接触会不断释放出金属镍离子,这对一些体质敏感的人来说不仅易产生过敏反应,还容易产生牙龈红肿、出血等不良反应,同时,大量的镍离子沉积在牙龈内会使牙龈发黑。 



       经济实惠点的烤瓷牙材料就是钛合金,要求再高一点的可以用金合金,因为金作为口腔修复的材料在我国已有上千年的历史,它理化性能稳定,与口腔牙龈组织相容性好,与陶瓷的结合能力也比较好。 
     

       可是由于金本身的黄色会透出来,所以难以完全满足对外观要求高的患者的需要,于是全瓷牙的出现就成了大家的新宠。这种新型复合生物体强力瓷牙透明度好、色泽极佳、形态更逼真,且坚硬不易崩瓷,唯一的缺点就是全瓷牙的成本较高,真正是“贵族式”烤瓷牙。       

       通过上述海德堡口腔专家为您的介绍,相信您一定对于什么烤瓷牙好呢有一定的了解了。如果您还想知道更多相关内容,您可以在线咨询我院口腔专家,咨询热线:022-58969998!