天津种植牙医院海德堡口腔教你如何正确认识种植牙
发布时间:2020/12/02
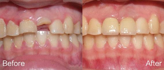
种植牙也叫人工种植牙,是近年来比较受青睐的缺牙首选修复方式。它并不是真的种上自然牙齿,而是在牙槽骨内植入仿真牙根,然后在其上部安装基台及烤瓷牙冠的修复方式。 

       种植牙有传统修复方式无法比拟的优势:更美观、更方便、功能更强,生命力更长久,最接近自然牙。目前,种植牙技术已经是相当的成熟,且种植的成功率在95%以上。 

       随着种植牙技术的普及,越来越受到众多缺牙患者的青睐,但口腔专家提醒广大患者种植牙是对种植技术要求含量极高的一项服务,如何正确的认识种植牙?



       本文特邀海德堡口腔医院资深种植专家李雪松院长给大家解析种植牙。 

       种植牙技术对牙齿种植的材料、设备器械消毒和医生的临床操作技术水平要求非常的高。种植牙的成功关键与否正受制于这些因素。

       具体如下:种植体材料的好坏、医师手术操作是否得当、设备器械消毒是否标准、后期的牙齿护理保养是否得当。 

       合格的种植材料对人体安全可靠  一般而言,种植牙材料选用与人体骨质兼容性高的纯钛金属。钛的耐磨性、耐腐蚀性好,生物相容性好,在体内稳定,无毒副作用,植入牙槽骨之后不会对身体造成任何危害。 

       但如果采用不合格质量劣质的种植体材料则会导致感染,诱发牙槽骨发炎等口腔疾病,危害口腔健康。 

       为避免上述危害的发生,海德堡口腔医院均采用经过严格质量检验的国际领先种植设备和材料,种植零事故,在国内口腔界享有良好的口碑。 



       医师经验影响种植效果  种植医师技术不过关操作不当,会对患者造成一系列危害。如:伤口裂开、出血不止、下唇麻木等。如果在种植牙手术后缝合过紧或过松,加上种植牙清洁不当,诱发感染从而导致局部伤口裂开;种植牙是一种微创手术,种完牙齿后,应该是没有大量出血现象,但如果牙医在粘骨膜剥离时损伤大、粘膜下剥离广泛或术后压迫不良,易导致粘膜下大量出血;还有,如果医师技术不熟练在种植体植入时直接创伤了下牙槽神经,那么患者就会出现下唇麻木的情况。 

       种植设备消毒严格与否至关重要。 

       如果手术设备器械消毒不过关或遭受污染,很容易造成患者伤口感染,引发一些列炎症,如牙槽骨发炎,导致牙齿松动脱落。