关于我们
About us
热点资讯
Hot news
诊疗服务
Service
联系我们
Contact us
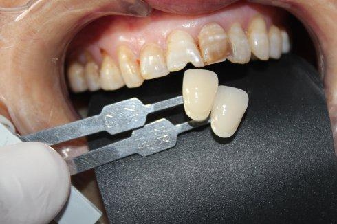
天津种植牙医院海德堡口腔告诉你,烤瓷牙的寿命有多长
发布时间:2020/11/20
烤瓷牙
的寿命有多长?兴起于上世纪八九十年代的传统治疗牙齿的方法——烤瓷牙,因为可以纠正牙齿变色、牙齿缺失、龋齿等问题,一度非常风靡。烤瓷牙虽好,但由于技术不成熟,需要磨掉一部分天然牙齿,时间长了可能会导致一系列牙病等原因,做了烤瓷牙8到10年的人无论有无不适症状,都应该去医院给烤瓷牙做个体检。
出现酸软不适、牙龈红肿应就医 对于已经做了烤瓷牙的人,如果出现酸软不适、牙龈红肿等问题,应随时就医。由于烤瓷冠与牙齿的密合度不够所致,也有一部分是由于金属过敏等原因导致引起牙龈红肿出血的问题很常见,但很容易被忽视,这是因为牙龈对疼痛不敏感,即使受到伤害也不会有剧烈的疼痛。
如何延长烤瓷牙的寿命?
1.初戴时应吃软的食物,避免吃过凉过热的食物,适应后再吃正常食物。初期与修复前相比,上下牙尖对位可能会有变化,要缓慢进食,逐渐适应。
2.由于牙体预备时磨除了部分牙釉质,初戴烤瓷牙时,有部分人会出现冷热敏感或疼痛,随着时间的推移疼痛会慢慢缓解。
3.烤瓷牙受到超过它的应力范围的压力时会碎瓷,所以不要咬太硬的食物,比如核桃一类的东西。
4.烤瓷牙与基牙的接合处容易聚集菌斑,形成牙石,应注意保持口腔清洁,养成餐后刷牙的习惯,牙缝间可以使用牙线清洁,并定期到医院检查、洁牙。
烤瓷牙的使用寿命一般是8年~10年,超过10年无论有无不适都应该去医院做个检修,让医生看看烤瓷牙的咬合如何,周围的牙有没有烂,烤瓷牙有没有松动等。
没有不适不意味着没有问题。有的可能已经出现了慢性牙髓炎,牙髓刚开始感染时可能有少许不适等。如果真的有问题,重新做个烤瓷冠并重新黏合,可更好的保护烤瓷牙。