烤瓷牙有哪些不良反应,天津种植牙医院海德堡口腔为您解答
发布时间:2020/11/11
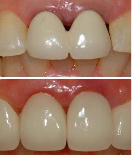
烤瓷牙可以说是目前牙齿修复的较好方式,但是由于种种可以避免的原因,部分患者在镶烤瓷牙后出现牙龈红肿、淤血、发黑,给生活带来了不必要的烦恼。     

       烤瓷牙出现这些不良反应的原因主要有以下几点:     

1.适应症掌握不当。制作烤瓷牙要选择健康、不发炎的牙齿或牙根,如果牙龈原来的炎症、肿胀没有消除,牙龈炎症就更容易迁延不愈。所以在制作烤瓷牙之前,应当先进行完善的牙周治疗,使牙龈完全恢复健康。

 


2.不正规操作对牙龈造成了损伤。制作烤瓷牙需要选择专门的器械、运用正规的手法并严格按照各项操作注意事项。如果技法不熟练,就很容易在操作过程中伤到娇嫩的牙龈,导致日后牙龈肿胀。     

3.烤瓷牙不正确的外形导致对牙龈的不良刺激。烤瓷牙冠的边缘应是光滑、连续并与牙根外形协调一致、与牙根紧密连接的。冠边缘作得太厚、太薄、不光滑或与牙体间有缝隙都会对牙龈造成刺激,导致牙龈肿胀。     

4.烤瓷牙所选的材质对牙龈造成刺激。国内以前做的烤瓷牙金属层大多是镍铬合金(不锈钢的一种)制成的,镍铬合金中的镍离子不稳定,容易游离到牙龈中,使牙龈红肿、疼痛,还会使牙龈呈青灰色。



       烤瓷牙的不良反应的解决方法     
 
       镶烤瓷牙后出现了牙龈红肿,首先应采用常规牙周治疗,去除牙龈和牙颈部的牙石和菌斑,并用漱口水含漱;如果没有效果,就需拆除烤瓷牙,换用边缘形态良好的临时冠做一段时间的观察;如果牙龈肿胀仍未好转,则需采用牙龈切除术切除增生的牙龈部分。此外应用一些具有消炎效果的口腔膏涂在患处。


       海德堡联合口腔医院是一家专业的口腔医院,总面积为4000平米,医院设计为三层,设置诊室29个,手术室4个,德国进口牙椅33台。同时还引进德国智能数字化设备,拥有数字化信息采集中心,全息数字化种植方案设计中心,云数据3D打印中心,一体化CAD/CAM义齿制作中心,white lounge数字化美学定制中心,远程会诊中心,DIN一体化程控消毒供应中心,云数据3D Systems打印中心,提供一站式、个性化的口腔解决方案,让患者治疗牙齿疾病成为更轻松的一件事情。