天津种植牙医院专家讲解牙齿变色是不是坏死?该怎么修复
发布时间:2020/11/06
牙齿变色后怎么刷也刷不白非常影响美观,因此很多人都想知道牙齿变色的原因担心牙齿变色会不会是牙齿坏死了,那么事实真的是这样的吗?针对这种情况应该怎么修复呢? 

       牙齿变色是一种很普遍的情况,造成牙齿变色的原因有很多不一定是牙齿坏死,要想知道具体的原因需要经过专业的检查后才能确定。

       下面海德堡口腔专家为您介绍几种常见的牙齿变色原因:  一种是常见的外源性着色因素造成的牙齿变色如咖啡牙、烟渍牙以及茶渍牙等,这些都是由于长期喝某一种饮料导致牙齿被染色进而变色。针对这种情况的牙齿变色采用的一般的洗牙就可以解决。 

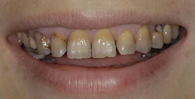
       牙齿变色是不是坏死?该怎么修复呢?



       牙齿变色治疗前后  另外一种就是增龄性牙齿变色即随着年龄的增长牙齿逐渐变黄,这种情况很普遍也很正常如果想要解决这种问题采用专业的冷光美白治疗就可以解决。 

       除了以上两种情况之外还有一种是内源性着色因素造成的牙齿变色,常见的如四环素牙、氟斑牙等,其中四环素牙是由于在牙齿发育期服用了四环素类药物导致四环素沉积在骨骼和牙齿中进而造成牙齿变色,而氟斑牙则是由于在牙齿发育期间摄入了过多的氟含量进而导致牙齿变色。 

       牙齿变色是不是坏死?该怎么修复呢?



       这两种情况都比较复杂采用一般的方法解决不了,必须根据具体的牙齿状况对症治疗。通常来说常用的解决四环素牙、氟斑牙的方法有冷光美白、牙齿贴面、烤瓷牙等,但具体采用哪一种方法还得由专业的医师检查后才能确定。 

       以上介绍的就是常见的牙齿变色原因,不是所有的牙齿变色都是由于牙齿坏死造成的,但牙齿坏死后是一定会造成变色的,而且一旦牙齿坏死这颗牙齿就变废了就会变得很脆弱容易折断所以要及时去看医生。