关于我们
About us
热点资讯
Hot news
诊疗服务
Service
联系我们
Contact us
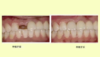
什么人不能做种植牙,天津种植牙医院海德堡口腔专家为您解答
发布时间:2020/10/29
年纪大了之后就容易掉牙,牙掉了可以修复,种植牙就是一种方法,但是,有两类老人不适宜做
种植牙
,一类是有全身性疾病的人,一类是有口腔疾病的人。
两类老人不能做种植牙
1、有全身性疾病的人不能做种植牙 如全身营养状况过差;免疫内分泌性疾病:糖尿病、类风湿、舍格林综合征;血液病;心血管疾病;骨代谢性疾病;有菌性心内膜炎病史者、心血管移植者;精神及神经疾患不能与医生合作者;急性炎症或感染。这类老年人不能做种植牙修复。
2、有口腔疾病的人不能做种植牙 如不正常的咬颌关系:一般情况下咬合及颌间关系异常,不宜做种植修复,除非可同时矫正异常的颌间及咬合关系;局部牙槽骨有病理性改变:如残根、异物、肉芽肿、囊肿以及炎症反应,消除上述病理性改变因素后可再考虑种植修复;经过放射治疗的颌骨;口腔黏膜病变。有这些口腔疾病的老年人也不能进行口腔种植牙修复。
种植牙的缺点
首先,就目前情况来看,不管采用哪种方法人工牙根,都不可能是100%成功的。简单理解就是在植入之前,我们无法100%准确推测出出植入牙槽骨的人工牙根是不是可以和牙骨完全愈合。虽然,很多资料都显示种植齿的成功率已经发到98%~99%了,可是病人和医生其实都存在一定风险——那就是植入失败。
其次,由于人工牙根植人之后会和骨直接愈合,牙根和牙槽骨间并不存在类似天然牙周膜的组织,给为感觉以及传导能力肯定会比天然牙要差。种植齿时经常会感觉不够,用力过大,出现牙槽骨吸收,义齿松动或者脱落现象。有的病人如果使用种植齿咬酒瓶盖的话容易出现义齿松动。因为种植齿人工牙根并不灵敏,无法感觉合力。
如果和活动齿相比较的话,种植齿的使用范围会比较小。也就是说并不明确什么时候可以进行种植齿。最后是关于种植齿是不是可以终生使用的问题,目前还没有定论。种植齿是近几年刚发展起来的,历史短,而且早期种植齿的材料和方法等原因,所以失败率还是比较高的。因此,我们并无法确定种植齿可以用多久。