关于我们
About us
热点资讯
Hot news
诊疗服务
Service
联系我们
Contact us
天津种植牙医院专家为您解答影响补牙价格的因素有哪些
发布时间:2020/10/20
很多人在平时都不注意口腔健康,从而会出现各种各样的口腔疾病,现代患龋齿的人越来越多,而治疗龋齿最佳的方法就是
补牙
了,但是影响补牙的价格因素是很多的,不同的医院,不同的材料以及不同的医生其收费标准都是不一样的,一起看看吧。
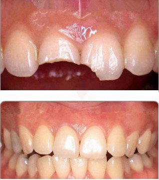
补牙根据牙齿损坏的程度和材料选择的不同,其价格的差异也非常大的。牙齿损坏的程度一般按牙洞的大小来定义,一般的口腔科补牙同一种补牙的材料,医生会根据牙洞的大小来定补牙的价格。
所以如果你发现自己有了牙洞,一定要尽早治疗,否则牙洞发展的越来越大,补牙收费也越来越贵。如果牙齿坏到了一定程度,就不是单纯的补牙就可以了,需要根管治疗,其价格也不会很贵,根据牙位不同和地区差异。前牙一般只有一个牙根,操作起来也比较简单,收费比较低,后牙牙根比较多,有的时候能达到三到四个牙根,而且操作起来也比较困难,所以收费就比较高了。
天津海德堡口腔医院
牙科专家表示,讲到补牙的价格,人们会有两种很有意思的反应:一是认为补牙肯定很便宜,不就是十几块的事;二是认为补牙是个麻烦事,说不定得花个大价钱。而补完牙之后,往往也有两种极端:一开始认为补牙没多少钱的人,在补牙后掏钱反而掏得最多,而担心补牙要花很多钱的人,往往花费少于预算。
补牙多少钱一颗,少的确实只要十几块。而多的,上百元上千元。用的是最老土的补牙材料,就是那种会在牙齿上留下黑乎乎一块补牙痕迹的,补完牙之后虽然不痛不痒,好像起到了补牙的效果,但不知道那天吃饭时,就会把补牙的材料给磕下来。不过也有牙医技术精到的,就算是用了一般的补牙材料,还是可以补得很牢固。
补牙一般需要多少钱?看完您应该有个大概的了解了吧,如果你想补牙的效果好、补牙的材料坚固,那么您在补牙的时候就选择治疗好点的,而费用必然就会高一点。所以为了口腔安全,不能只单纯的分析价格而应该综合各方面因素考虑。
海德堡口腔补牙是非常不错的,我院补牙材料是国外进口的,可以保证补牙的质量,同时补牙医生技术水平非常的高,不会伤害牙齿,重要的是我院有自己独立的消毒室,补牙过程中是没有任何感染的。并且引进的纳米树脂补牙采用的是当代科技生产的补牙材料,其填料的颗粒度达到纳米级。树脂材料不仅美观,耐磨,强度大,而且使用寿命长,树脂材料与釉质有较强的粘合力,能够快速还原健康牙齿,且补牙材料不易脱落。