在海德堡口腔医院做根管治疗,预防缺牙很有效
发布时间:2020/10/09
根管治疗,预防缺牙很有效!根管治疗是保留我们真牙最有效的办法,一起来看看吧! 

       过去,经常牙疼的患者不得不靠拔牙来解决问题,到老了往往会“一望无牙”。如今,随着医疗技术的不断发展,因牙疼到口腔科就诊的人常会听到“根管治疗”这个名词。正是由于这项技术的出现,许多原本需要拔除的牙齿可以留下来。   

       然而,“根管治疗”也并不轻松,它对医生的技术、医院硬件设施方面的要求也比较高,而且如果首次根管治疗不成功,再次治疗不仅成功率低于首次治疗,而且费用也会更高。     

       “根管治疗”很有效     

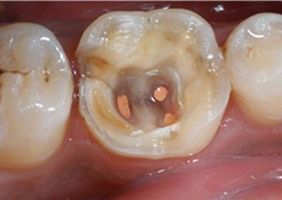
       很多人也许不知道,表面上看起来坚硬无比的牙齿,实际上是空心的。牙齿内部的空心结构叫“根管”。里面装着牙神经和血管,维持着牙齿的营养和感觉功能。   



       蛀牙、牙外伤、隐裂等因素,都容易导致根管内部的感染。当根管内的炎性分泌物压迫牙神经时,就会引起疼痛。由于牙齿是十分坚硬的组织,而根管又很狭小,无法扩张,所以牙痛非常剧烈,打针、吃药都不能解决问题。 

       根管治疗是针对牙疼产生的病因,处理牙神经疼痛,长期保留牙齿的最佳方法。治疗时,医生首先在牙齿上钻一个洞(在打麻药的情况下),减轻根管内的压力,将炎性分泌物释放出来。效果立竿见影,患者马上就感觉牙齿不疼了。     

然后,医生会用专业的器械将根管内感染坏死的神经、血管组织清理出来,再用特殊的工具将根管扩大成形,消毒干净。最后,等患牙完全没有不适症状时,再用专门的材料将根管非常致密地充填起来,使牙齿的外形恢复完好。     

       “根管治疗”不轻松     

       不过,就是这个小小的“根管治疗”,让医患双方对它又爱又恨!为什么这么说呢?“爱它”,是因为有了它,牙疼不用再害怕;缺损很大的牙齿也可以保留下来,并发挥很好的咀嚼功能;许多原本需要拔除的牙齿,都可以保留下来。

     

 
       “恨它”,是因为要做好它,除患者需多次就诊(3~5次,一星期一次),它对医生的技术、医院硬件设施方面的要求也比较高。医生不但要对牙齿内部如同树根般复杂的根管系统了如指掌,治疗时要有足够的耐心和毅力(有时候仅为了寻找隐藏的根管开口就需要一个小时),而且还必须有良好的医德和责任心,因为根管治疗做得好不好,疗效能否持久,只有医生才知道。 


       此外海德堡口腔医院还配备强大的硬件支持,如严格的消毒程序、清晰的拍片设备、先进的治疗器械等。海德堡口腔医院采用的根管治疗法(咨询技术细节)的成功率较高,为患者更好的保存了患牙,一般来讲对于那些牙髓炎,牙髓坏死,各种类型的根尖周炎都可在海德堡口腔医院进行根管治疗。尤其残冠残根牙,修复科需要进行桩冠修复的,根管治疗术是一个可以选择的治疗方法。