天津海德堡口腔医院专家为您解答,冷光美白能让黄牙变白吗
发布时间:2020/10/09
海德堡口腔专家介绍牙齿黄分为两种类型。它一般分为外源性和内源性两种。简单地说,外源性着色是指牙齿“外在染色”,主要是由于烟渍、食物色素着色等造成。而内源性着色,则是由于在牙齿发育时期服用了某种药物或饮用水质等原因导致牙齿颜色异常,常见的有四环素牙和氟斑牙。     

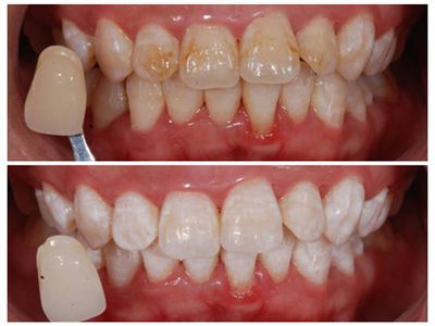
       冷光美白治疗黄牙技术是通过特殊冷光源照射覆盖在牙面上的漂白剂,使之短时间内渗入牙齿硬组织中来达到改变牙齿颜色的目的,其优点是不损伤牙齿硬组织,操作治疗时间约30至45分钟,但不足之处是由于药物作用漂白,冷光美白治疗黄牙的效果因个人牙齿情况会有不同。 




       冷光美白治疗黄牙以冷光照射涂在牙齿上的特殊美白剂,能快速清除牙齿表面上的外源性色素染色(如烟渍、茶渍、咖啡渍等),而且能快速透过牙齿本质小管到达牙齿涂层,与沉积于此处的色素(如四环素、过多的氟离子、铁离子等)产生氧化还原作用,使黄牙变白,冷光美白治疗黄牙的效果是非常好的。     

       冷光美白治疗黄牙前,求美者要戴上护目镜及开口器。操作时将牙龈保护剂涂在牙龈上并遮盖到龈下,用光固化灯照射约3秒钟;再将调好的美白剂小心地覆盖到上下牙齿表面,美白剂厚度为2~3毫米;接着调整冷光角度,开始照射。   



       冷光美白治疗黄牙是采用美国先进的冷光美折机配合药物的牙齿漂白方式。先将药物涂在牙齿上,然后用冷光机照在牙上,整个过程大约40分种,马上见效果。冷光美白采用低温冷光,避免了操作过程中对牙神经的损害。美白剂的主要成分为过氧化氢,用在牙齿脱色治疗上已有数十年之久。操作过程完全不接触牙龈,对牙齿结构不会造成损害。操作过程中会有人有些微痛,根据牙齿颜色的程度做一次或两次可达效果。至于效果方面,虽然很少有人提及,但实际情况是,冷光美白治疗黄牙的效果可持续2年左右。

        海德堡联合口腔提醒您:做完牙齿美白后,也要注意生活中的饮食,保护好牙齿卫生,定期进行洗牙,做好口腔卫生维护,这样才能拥有一个良好的口腔环境。关于“冷光美白牙齿”就为您介绍到这里了。如还有其他疑问,您可以点击搜索天津海德堡德联合口腔或者拨打海德堡联合口腔热线5896—9998联系我们。我们会为您一一解答。