重阳节丨听最可爱的人讲最动人的故事——致敬每一位抗美援朝老兵
发布时间:2021/10/14
国庆假期已经过去,但电影《长津湖》却深深地留在了人们的心里。年轻人被战场上的激烈场面所震撼惊骇,老年人因触发久远记忆而失声痛哭……

他们离我们那么远,但仿佛又那么近。今年的重阳节,让我们来听听抗美援朝老兵周德华和海德堡联合口腔的故事……
 
01.艰苦的战斗、恶劣的工作环境让牙齿问题每况愈下
 
周德华爷爷今年95岁,但看上去依然精神矍铄,腰板挺直。他思路清晰地回答了我们每一个问题,仿佛带我们回到了那个年代……
 
“23岁那年,参加了抗美援朝,当时没文化,什么都不懂,党员给我们开了一个会,说是美国人侵犯到朝鲜了,再打就该打到咱中国了。作为中华男儿,保家卫国,绝不让敌人侵犯我们一寸领土!”
 
 
 
这仿佛电影台词一般的话语,字字清晰地出自一个抗美援朝老兵的嘴里。
 
“那一仗,真的打了很久。我是炮兵,从成都开始运送炮弹,再坐火车到东北,再从东北到朝鲜,火车都被炸了,只能走路……就像电影里演的,大家一起吃冻土豆,那时候牙还好,不当回事儿。可能就是那时候牙齿开始落下毛病了吧。”
 
 
 
周爷爷回忆起往昔,眼中有光,仿佛忆起那段峥嵘岁月,念起旧时感情。
 
“1952年的时候,我参加了上甘岭战役。“联合国军”6万多人,大炮300多门,坦克170多辆,出动飞机3000多架次……我们呢?小米加步枪。但最后我们还是赢了,我们守住了阵地!这场仗打了快两个月啊!”
 
 
 
可能大家有所了解,上甘岭战役的激烈程度前所罕见,特别是炮兵火力密度,已超过第二次世界大战最高水平。
 
“抗美援朝战争胜利之后,我们帮朝鲜修马路、盖房子,1954年的时候我就转业了,去了一个重工业工厂的高温车间,牙可能就是从那时候坏的。”
 
 
 
长年工作在40℃的高温车间,酸度高、腐蚀性强,虽然戴着薄薄的口罩但也几乎起不到防护作用。
 
再加上年轻时候的周爷爷没有文化,不太关注口腔健康,经常用牙开酒瓶、啃硬物,甚至有的牙因此掉了半颗也毫不在意,抽烟喝酒的习惯更是长达60多年。
 
 
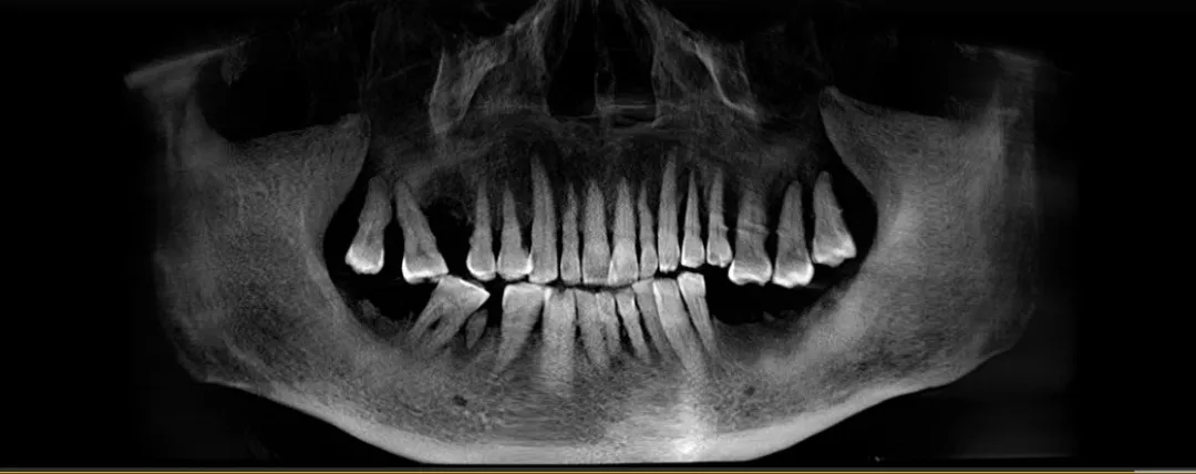
患者术前牙片
 
长此以往,从20多岁的牙齿断裂,到后来渐渐掉落、松动……这些年里,周爷爷的牙齿陆续脱落,仅剩的牙齿也仿佛“挂”在了他的嘴里,只要稍微用力,这些牙齿随时都能脱落。
 
和绝大多数缺牙的老年人一样,周爷爷只能选择偏软的食物,最喜欢的海鲜和猪脆骨也完全不能咀嚼,只能碾碎、捣烂成糊状再下咽,每一次吃饭牙齿都会疼痛难忍。
 
 
 
“仗打完了,也退休了,该享享福了,可牙坏了,身体都不好了……”这是那时还饱受缺牙痛苦的周爷爷时常发出的感叹。
 
“枪林弹雨都不怕,还能被牙病打趴下?一定要治好牙齿!”周爷爷暗下决心。
 
02.从遇见海德堡到选择海德堡,体验一站式口腔综合诊疗服务
 
起初因为周爷爷年龄太大,儿女害怕他的身体承受不住种植牙手术,还是持反对的态度。
 
但作为抗美援朝的老兵,周爷爷的性格无比坚韧:“枪林弹雨、飞机大炮都打不垮我,种植牙手术怎么会有事?”
 
在周爷爷的坚持下,孝顺的儿女开始陪伴他跑大小医院,但收获的反馈却是千篇一律:“年龄太大了,不好拔牙啊……”
 
直到了解到海德堡联合口腔的“海河口腔计划"公益行动,知道了这是一家专注于种植领域、坚持医疗为本的口腔医院,拥有先进的数字化技术和专业严谨的医生团队,周爷爷和家人选择马上来到医院。 


 
来到了海德堡联合口腔后,看到整洁无菌的环境、专业的医疗团队,体验到了耐心的客户服务,周爷爷和儿女们的眉头才终于舒展开了。
 
以前在医院里跑上跑下奔波多个诊室才能取得的完整数据,在海德堡联合口腔,德国数字化Sirona CBCT全景影像片设备,只需要静静地站在设备前等待2分钟左右,就能够迅速获取口内数据,了解牙齿内部是否存在问题。


 
拍摄完牙片过后,专业的内科专家团队也为周爷爷进行了术前会诊,确保他的的身体状况,从各种细节的保证都需要做到100%严谨,全面的保证手术安全。

医生告诉周爷爷,种植牙手术虽然听上去很严重,但其实它只是一个较小的牙槽外科手术,属于微创外科手术,在内科医生评估后,身体情况允许是可以进行手术的。

 
 
经过暖心的服务、细致的前期检查,以及看到院内整洁专业的环境,一生严谨的周爷爷对于这家德国口腔医院,他表示十分欣赏与信任。
 
03.海德堡联合口腔精湛技艺,不忘初心让老兵重拾咀嚼幸福
 
详尽的检查之后,海德堡联合口腔疑难种植中心胡克林主任为周爷爷进行了亲诊。经检查,周爷爷全口牙结石3度,左右两侧都吃不了饭,多颗牙齿松动,需要拔除一部分牙齿。
 
胡克林主任表示会尽可能地为他保留自己原有的牙齿,并且细致地讲解了种植方案,在大屏上为周爷爷演示种植之后的效果,并且仔细地告知自己设计方案的思路,周爷爷很快理解了自己的种植手术方案。

 
 
在完成种植手术之前,需要先为周爷爷拔牙。不同于其他患者,术前医护人员关心地问周爷爷怕不怕时,他大手一挥:“怕什么,打仗时候被刀子捅都不怕!”
 
没想到只在牙椅上躺了一会,牙齿就全部拔好了。他几乎没有感觉到拔牙的动作,麻药劲儿过去之后,周爷爷还是觉得基本没有太大的感觉。
 
 
 
在拔完牙齿并且确定好自己的数字化种植方案之后,海德堡联合口腔疑难种植中心主任胡克林为周爷爷进行了德国数字化精准种植手术。
 
 
 
手术过程也会全程在无菌环境中进行,并且仪器实时监测着周爷爷的生命体征,百分百保证他的身体健康。
 
因为周爷爷年龄偏大,胡克林主任在手术过程中,一直在询问着他的感受,并且仪器实时检测他的身体情况,最终精准、微创、舒适地种好了牙齿。
 
 
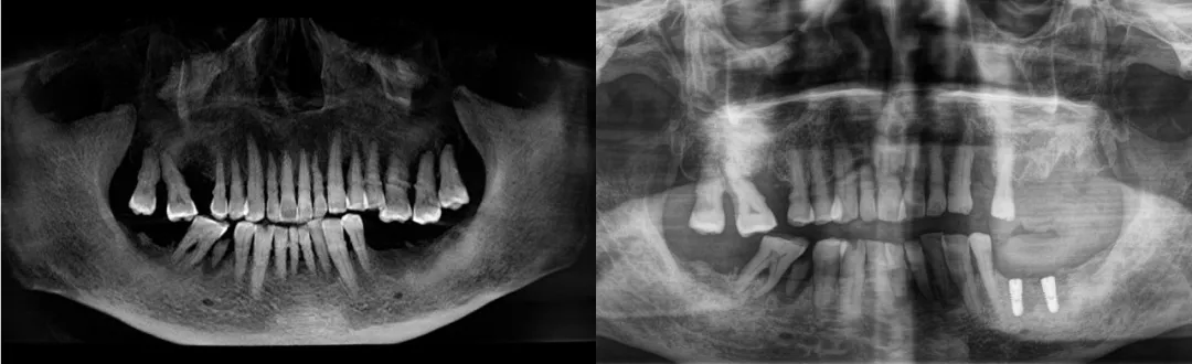
患者术前、术后对比
 
如今,做完种植牙的周爷爷笑容灿烂,曾经心心念念的螃蟹和猪脆骨也能轻松咀嚼了。对比种牙之前的生活,周爷爷后悔没有早点为自己做种植牙。
 
但令周爷爷没想到的是,与传统医院不同的是,海德堡联合口腔的医疗服务并没有止步于种植手术结束的那一刻。
 
 
 
在为周爷爷做完种植手术之后,海德堡联合口腔术后医疗追踪服务团队即刻建立起“微信群”,为他提供了7*24小时的术后医疗服务。
 
除了术后追踪团队之外,还会有专人客服提醒周爷爷定期前来复查,这样的一站式种牙服务,相当于爷爷的牙齿私人管家了。

 
 
“真的很幸福,非常感谢海德堡,我重新吃到了年轻时候吃不到的东西……”手术完的周爷爷终于露出了舒心的微笑,他觉得医疗也可以非常舒适、有温度。

重阳节至,海德堡联合口腔希望通过数字化诊疗技术让更多牙齿缺失的老年人重新收获自信的笑容,享受到源自德国严谨、专业又有温度的口腔诊疗服务,重拾咀嚼的幸福。